TOSCANA MEDICA – Iniziamo con un inquadramento generale della patologia “rene policistico”.
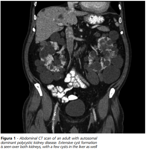
MINETTI – Il rene policistico autosomico dominante (ADPKD) per i nefrologi rappresenta una patologia di grande interesse, essendo la più frequente condizione ereditaria che interessa il rene, caratterizzata da una evoluzione progressiva verso l’insufficienza terminale di organo. Colpisce circa 4 persone ogni 10.000 ed in questo senso può essere considerata una malattia “rara”, anche se i riscontri autoptici parlano di cifre molto più alte a causa del grande numero di casi che rimangono asintomatici in relazione alla penetranza della malattia. La forma più frequente, riscontrata in circa l’85% dei pazienti, è quella autosomica dominante in cui si ha una mutazione che interessa il gene posto sul cromosoma 16 che codifica per una proteina chiamata appunto policistina. Il restante 15% dei casi si riferisce ad una alterazione di un gene posto sul cromosoma 4 che codifica per un’altra proteina definita policistina 2. A questi due quadri di alterazione genetica si legano i differenti comportamenti nell’andamento clinico della malattia.
EGIDI – A completamento di quello che ci ha appena detto il dottor Minetti, ricordo che esiste una forma recessiva di rene policistico, più rara, che colpisce l’infanzia e che conduce precocemente e all’insufficienza renale cronica.
Inoltre non dobbiamo dimenticare che la localizzazione renale della malattia policistica in circa il 5 - 6% dei pazienti può essere riscontrata anche in altri organi come il fegato o le arterie cerebrali dove si ritrova il cosiddetto aneurisma di Berry, che in seguito a rottura può indurre emorragia cerebrale e morte prematura.
TOSCANA MEDICA – Dottor Francesconi quali sono i dati epidemiologici di questa malattia nella nostra Regione?

FRANCESCONI – Purtroppo ad oggi non disponiamo di dati di prevalenza di questa malattia a livello regionale. Mi limito pertanto a confermare quello già detto in precedenza, basandomi su dati contenuti in studi europei e cioè che il rene policistico può epidemiologicamente venire considerata una malattia rara, attestandosi la sua prevalenza intorno ai 4 casi ogni 10.000 soggetti.
Da queste cifre si evince che in media un medico di famiglia su due in Toscana potrebbe avere un malato di questo tipo tra i propri assistiti. Altre informazioni possono essere ricavate dai Registri dialitici nazionali che parlano di circa l’8% di casi di rene policistico autosomico dominante in dialisi che, tradotti nella realtà toscana, significano circa 200 persone con rene policistico autosomico dominante.
Percentuali ancora più alte riguardano poi i malati che subiscono il trapianto di organo a causa del rene policistico. In Toscana sui 1700 trapianti di rene eseguiti negli ultimi 10 anni, ben il 14,5% riguardava casi di rene policistico con circa 250 pazienti trapiantati.
EGIDI – Vista la progressione relativamente lenta della malattia, in presenza di donatore vivente, si dovrebbe considerare un trapianto preventivo, proprio per evitare che il malato arrivi alla a terapia dialitica.
Sempre per rimanere in tema di trapianto, ricordo che i reni policistici spesso sono organi di notevoli dimensioni per cui potrebbe rendersi necessaria, proprio per fare spazio al nuovo rene, una nefrectomia mono o bilaterale prima del trapianto.
Questa situazione potrebbe impedire il trapianto preventivo in quanto il paziente necessiterebbe di un periodo di trattamento dialitico come ponte per il trapianto.
Infine la nefrectomia in caso di rene policistico può essere indicata anche in senso di prevenzione oncologica data la possibilità di degenerazione maligna di questi organi.
TOSCANA MEDICA – Quale è la fisiopatologia del danno renale presente nella malattia policistica?
MINETTI – Al momento la malattia cistica renale viene sempre più spesso considerata concettualmente come una ciliopatia, visto che le proteine codificate dai geni mutati prima ricordati interessano principalmente la popolazione cellulare delle ciglia dei tubuli renali, regolandone i reciproci rapporti, l’attività e l’apoptosi.
Su questi concetti si basano le più recenti opzioni di cura della malattia.
TOSCANA MEDICA – Abbiamo sentito che la malattia può condurre all’insufficienza renale terminale: quali sono quindi i suoi costi umani e sociali?
MINETTI – Non sono al momento disponibili dati circa la situazione italiana, però una recente stima dei costi comparsa su Lancet parla di circa 25.000 dollari annui per pazienti con funzione renale ancora conservata per arrivare addirittura ai 135.000 necessari ogni anno per curare al meglio soggetti con malattia in fase molto avanzata. Calcolando che in Europa ad oggi i casi di malattia policistica terminale sono circa 50.000, ben si comprende quanto “costi” complessivamente questa malattia.
BIANCHI – Per quanto che riguarda i dati disponibili nella nostra Regione, derivanti da uno studio dell’Istituto Sant’Anna effettuato in collaborazione con le Nefrologie toscane, il costo di un paziente negli stadi IV e V (non in dialisi) della malattia renale, considerando costi sanitari diretti ed indiretti ed i costi sociali, si aggira intorno a 10.000 Euro l’anno. Anche considerando un costo lievemente maggiore per i pazienti con rene policistico, in questi stadi di malattia, questo appare decisamente inferiore a quello riscontrato nei Paesi anglosassoni. Da sottolineare infine che i costi sostenuti per i soggetti affetti da una malattia renale, inclusi quindi i pazienti con rene policistico, per quanto elevati siano sempre di gran lunga inferiori a quelli che si debbono sostenere nella fase della terapia sostitutiva (dialisi e trapianto renale).
MINETTI – Sempre tenendo in considerazione la questione economica, ricordo che i soggetti con rene policistico in linea di massima necessitano della dialisi intorno ai 53 anni di vita, ben prima quindi dei 65 di coloro che vi arrivano per altre cause.
Anche se si tratta per lo più di persone altrimenti “sane” che con relativa facilità possono essere avviate al trapianto, possono tuttavia presentare delle importanti comorbilità quali frequenti infezioni delle vie urinarie o episodi ripetuti di sanguinamento endocistico con la conseguente necessità di ricovero ospedaliero, senza dimenticare il rischio legato alla eventuale presenza di aneurismi intracranici.
TOSCANA MEDICA – È corretto sostenere che gran parte dei costi della malattia dipendono dalla dialisi e dal trapianto renale?
BIANCHI – Assolutamente sì, anche se la malattia policistica renale ha un costo elevato in tutti i suoi stadi di evoluzione clinica a causa dei ricoveri spesso necessari, degli accertamenti diagnostici e delle terapie complessivamente richieste, senza dimenticare i costi umani e sociali di difficile quantificazione in senso strettamente economico. In questa ottica penso pertanto si debba ragionare non considerando solo le spese per il trapianto o la dialisi, ma anche i risparmi che si possono ottenere da una buona gestione della malattia nelle fasi precedenti quella terminale.
TOSCANA MEDICA – Dottor Ucci, quale è il ruolo del medico di medicina generale nell’individuare il più precocemente possibile i segni e sintomi di un’eventuale malattia renale policistica?
UCCI – Abbiamo già sentito che si tratta di una patologia di raro riscontro da parte dei medici di famiglia la cui diagnosi è stata drammaticamente modificata dall’introduzione delle indagini ecografiche che in questo campo specifico sono andata praticamente a sostituire il referto delle autopsie!(Nel senso statistico, infatti prima sia la mancanza di un rene sia la malattia cistica del rene erano sottostimate). L’ecografia ha ovviamente semplificato moltissimo la nostra azione e ci ha permesso di attuare un primo step diagnostico basato sulla familiarità eventualmente presente per la malattia in un nostro assistito oppure su episodi di ematuria di difficile inquadramento. Una volta raggiunta la diagnosi di rene policistico è evidente che la medicina generale non può prescindere dalla collaborazione con i colleghi nefrologi.
BIANCHI – Sono completamente d’accordo con il dottor Ucci. Il rene policistico è una condizione geneticamente determinata per cui può essere oggettivamente di difficile identificazione in una popolazione non selezionata come quella che assistono i medici di famiglia. La malattia però deve essere assolutamente ricercata nei consanguinei di coloro che ne sono affetti, come del resto prescrivono le linee - guida in materia che consigliano appunto di effettuare accertamenti mirati almeno nei soggetti maggiorenni consanguinei dei malati.
Questa impostazione metodologica è l’unica al momento assolutamente da perseguire per arrivare il prima possibile alla diagnosi.
UCCI – La medicina generale in questo senso ha una fortuna molto più grande rispetto ai colleghi specialisti: infatti si prende cura di un intero nucleo familiare a livello del quale potere attuare tutte le procedure della moderna medicina di iniziativa (quindi poter risalire ad una malattia ad andamento familiare).

TOSCANA MEDICA – Quale è la prognosi della malattia policistica renale?
MINETTI – Per prima cosa bisogna ricordare che esiste un 6 - 8% di pazienti che non presentano nessuna familiarità per la malattia e che quindi sono stati colpiti da forme patologiche legate ad alterazioni genetiche insorte ex novo proprio in quel determinato soggetto. In senso generale la prognosi dipende moltissimo dalla mutazione genetica alla base della patologia. In caso di mutazione cosiddetta troncante (PKD1 nonsense), che cioè non codifica per alcuna proteina, l’arrivo alla dialisi è molto più veloce che nei casi (circa il 30% dei pazienti) in cui il gene mutato codifica per una proteina,seppure alterata (PKD1 missense).
La prognosi risulta più favorevole in quei soggetti in cui si ritrova la mutazione PKD2, senza comunque dimenticare che l’evoluzione clinica di questa malattia è inesorabilmente, prima o poi, verso l’insufficienza renale.
Altri criteri che ci possono aiutare a valutare la prognosi di un determinato malato sono rappresentati dal volume dei reni e dall’età anagrafica al momento della diagnosi, oltre che dal sesso (la prognosi è peggiore in quello maschile) e dal grado di funzionalità renale.

TOSCANA MEDICA – Ad oggi quali sono gli strumenti a nostra disposizione per cercare di rallentare il più possibile l’evoluzione clinica della malattia policistica renale?
EGIDI – Fatte salve tutte le considerazioni adesso espresse dal dottor Minetti e senza tralasciare l’aspetto psicologico dei pazienti di fronte ad una simile diagnosi, direi che uno dei primi interventi da attuare è quello di cercare il migliore controllo possibile dell’ipertensione arteriosa sempre presente in questi casi quale importante fattore di comorbilità.
Si possono poi prescrivere appropriate diete ipoproteiche per contenere i valori azotemici e cercare di prevenire le infezioni ed il sanguinamento endocistico che rappresentano ancora oggi una causa importante di ricovero in ospedale.
Molte speranze sono oggi riposte nel tolvaptan, un antagonista selettivo del recettore V2 della vasopressina dimostratosi in grado di rallentare significativamente la formazione delle cisti a livello dei reni, in modo da preservare un po’ più a lungo la funzionalità del rene, e quindi di garantire un’entrata in dialisi più tardiva, non potendo comunque garantire la guarigione. In letteratura non si hanno dati consistenti con tale trattamento oltre la durata di 3 anni, durante il quale il suo l’impiego è stato influenzato da importanti effetti collaterali come sete, polidipsia, poliuria, comparsa di edemi diffusi, transaminiti. Ovviamente gli effetti collaterali riferiti, sarebbero da controbilanciare con quelli deleteri dovuti al sanguinamento ed infezione delle cisti ed al conseguente esacerbante dolore lombare.
Nonostante qualche studio relativo all’impiego di altre sostanze nella gestione della malattia policistica del rene, la maggiore attenzione degli specialisti è ancora oggi mirata al tolvaptan che ha recentemente ottenuto anche le necessarie autorizzazioni da parte dell’EMA per il trattamento dei pazienti affetti da rene policistico autosomico dominante.
MARINAI – Fino a pochi anni fa le terapie disponibili per la malattia policistica del rene erano essenzialmente quelle rivolte alla sintomatologia che di volta in volta compariva nei pazienti e nessuno pensava ad intervenire sull’evoluzione clinica. Il tolvaptan, come già detto approvato dalle autorità regolatorie europee ed italiane per l’uso negli stati di iponatremia, ha dimostrato di potere rallentare la formazione delle cisti renali, favorendo in tal modo il rallentamento della malattia.
Tuttavia, come ha già detto la dott.ssa Egidi oggi, grazie all’arrivo di nuove molecole in grado di modificare il decorso della patologia, rallentandone la progressione, l’approccio terapeutico è destinato a cambiare. Gli studi in merito, che finora portano dati a 3 anni, hanno dimostrato che il tolvaptan funziona molto bene, riuscendo effettivamente a rallentare l’evoluzione clinica della malattia. I risultati legati al suo impiego sembrano inoltre notevolmente migliori se somministrato in pazienti ancora agli stati iniziali della malattia, spesso asintomatici, i quali potrebbero anche non accettare di buon grado i pesanti e ben conosciuti effetti collaterali, in primo luogo la poliuria, situazione più difficile da gestire.
Pertanto, dal punto di vista del farmacista ospedaliero un aspetto importante legato all’arrivo di nuovi prodotti, specialmente quando destinati ad una patologia per la quale non esiste ancora una terapia, è rappresentato dal costo e dall’impatto che l’introduzione della nuova tecnologia avrà sul SSN. Ancora non sappiamo a quale prezzo verrà registrato il tolvaptan tuttavia sarà importante trovare il giusto rapporto costo/beneficio ed il corretto target terapeutico.

BIANCHI – Anche se siamo di fronte ad una malattia ancora relativamente orfana di terapie specifiche, il controllo dell’ipertensione arteriosa, una corretta alimentazione e la prevenzione delle infezioni, come in precedenza ricordato, possono contribuire a tenere sotto controllo la situazione con la sorveglianza dei medici di base e degli specialisti nefrologi.
Le cose probabilmente cambieranno nei prossimi anni, se si considera che attualmente sono in corso ben 25 importanti studi incentrati su differenti molecole e diverse strategie di cura.
Per quanto riguarda la situazione attuale, io credo che il tolvaptan sia un farmaco estremamente utile, ad oggi l’unico per il quale è stato possibile dimostrare in maniera scientifica un’ottima efficacia nel rallentare la progressione della malattia policistica renale.
In questo senso credo pertanto che anche l’analisi dei costi e la sostenibilità del suo impiego clinico debbano essere considerate nella giusta proporzione del rapporto costo/beneficio.
MINETTI – Un aspetto importante da valutare quando si esaminano le potenzialità di una nuova molecola è certamente rappresentato dalla selezione dei pazienti nei quali impiegarlo. Come già detto un criterio di valutazione importante nella stadiazione della malattia policistica renale è la misurazione del volume del rene o dei reni interessati. Oltre alle normali metodiche radiologiche che ne misurano i diametri antero-posteriore, longitudinale o trasverso, disponiamo oggi di metodiche TAC che, basate sull’impiego di appositi software, riescono a misurare con grande esattezza il reale volume dell’organo malato. Si tratta di tecniche ancora non del tutto entrate nella comune pratica clinica, che comunque necessitano della collaborazione partecipata di radiologi specificamente a conoscenza dei diversi aspetti della malattia.
TOSCANA MEDICA – Sicuramente, l’introduzione di nuove opzioni terapeutiche genererà un incremento dei costi a carico del SSN, quantomeno quelli a breve termine. Quando però questi soggetti arrivano a necessitare della terapia dialitica o addirittura del trapianto renale, i costi diretti ed indiretti del percorso di cura diventano ugualmente molto alti. In questo contesto come si inserisce il concetto di sostenibilità degli interventi sui quali decidere di investire?
EGIDI – Purtroppo, per nessuna delle molecole ancora in studio o già approvate per il trattamento dell’ADPKD sono disponibili studi a lungo termine che ne dimostrino in maniera incontrovertibile il vantaggio economico dell’impiego precoce rispetto ai costi della dialisi. Per quanto riguarda tolvaptan i dati in nostro possesso al momento si limitano alla constatazione che questa molecola si è dimostrata in grado di rallentare la formazione delle cisti renali riducendo il volume dell’organo e di stabilizzare il filtrato glomerulare, con qualche abbandono della terapia a causa dei suoi effetti collaterali.
Ancora sulla questione economica: oggi sappiamo che la dialisi “costa” per ogni paziente circa 45 - 50 mila Euro all’anno, più o meno quanto il trapianto di rene durante il primo anno dopo l’intervento. In seguito però il risultato chirurgico andato a buon fine presenta dei costi annui nettamente inferiori alla dialisi e di questo credo se ne debba necessariamente tenere conto.
MARINAI – Senza considerare gli importantissimi costi umani e sociali del rene policistico e rimanendo in un ambito strettamente economico, è indubbio che oggi ci dobbiamo confrontare con un farmaco certamente di nicchia che per la prima volta in assoluto appare in grado di modificare in maniera assai significativa il decorso clinico di una malattia estremamente impegnativa. Credo sia compito dei clinici arrivare ad un accordo quanto più possibile condiviso per stabilire se sia meglio in un determinato paziente continuare con la terapia medica oppure avviarlo il prima possibile al trapianto, senza dimenticare tutte le problematiche connesse a quest’ultima opzione di cura a cominciare dalla lunghezza delle liste di attesa.
BIANCHI – A mio parere il tolvaptan ha avuto il merito enorme di avere scosso noi nefrologi da una sorta di inerte fatalismo di fronte alla scarsità di cure per la malattia cistica del rene. Il rinnovato interesse per questa condizione ha portato ad un numero significativo di studi che si propongono di individuare altre opzioni terapeutiche, alcune delle quali, se validate, presenterebbero un costo davvero ridotto, come ad esempio, gli schemi di idratazione con alti volumi di introduzione idrica o l’impiego degli inibitori dell’aldosterone.
TOSCANA MEDICA – Dottor Ucci, a fronte delle nuove opportunità di cura per i soggetti con rene policistico è auspicabile una revisione dei meccanismi di collaborazione tra medici di base e specialisti, magari con la creazione di un apposito percorso diagnostico-terapeutico?
UCCI – Sono assolutamente d’accordo, soprattutto di fronte all’importanza di una diagnosi sempre più precoce della malattia. Credo che i nuovi mezzi informatici che finalmente saranno presto disponibili, come per esempio il fascicolo sanitario elettronico, certamente andranno a migliorare la comunicazione tra medici di famiglia e specialisti per un migliore presa in carico di questa classe di pazienti. I risultati migliori in questo senso saranno ovviamente quelli ottenibili nei soggetti con ancora una buona funzionalità d’organo.
La questione dei costi di queste nuove terapia, a mio parere, è sempre quella con la quale dobbiamo necessariamente confrontarci di fronte a patologie che interessano un numero relativamente limitato di pazienti(ma per questo non meno importanti).



